永久歯がない:永久歯の欠損
永久歯がない状態での治療のご紹介です。

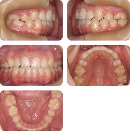
右下は乳歯が残っており永久歯がない状態です。


奥歯を前にずらすかわりに、乳歯を残して噛み合わせを改善するとこのような形になります。
以下は、上記写真に関する解説です。
- 治療内容
- マルチブラケット装置
- 抜歯の有無
- 上顎両側第一小臼歯抜歯
- 治療費用
- 矯正治療基本料金 68.5万円
毎回の再診料5,500円
- 治療期間・回数
- 治療期間 1年10ヶ月、治療回22回
- リスク・副作用
- 解剖学的には、歯が本来あるべき位置ではなく違う位置に置かれるため、数十年単位の長期的なかみ合わせにおいては何らかの影響を与える可能性が考えられます。(※ 状態によって個人差があります)
- 一般的なリスク・副作用(※要スクロール)
- (1)最初は矯正装置による不快感、痛み等があります。数日間~1、2 週間で慣れることが多いです。
(2)歯の動き方には個人差があります。そのため、予想された治療期間が延長する可能性があります。
(3)装置の使用状況、顎間ゴムの使用状況、定期的な通院等、矯正治療には患者さんの協力が非常に重要であり、それらが治療結果や治療期間に影響します。
(4)治療中は、装置が付いているため歯が磨きにくくなります。むし歯や歯周病のリスクが高まりますので、丁寧に磨いたり、定期的なメンテナンスを受けたりすることが重要です。また、歯が動くと隠れていたむし歯が見えるようになることもあります。
(5)歯を動かすことにより歯根が吸収して短くなることがあります。また、歯ぐきがやせて下がることがあります。
(6)ごくまれに歯が骨と癒着していて歯が動かないことがあります。
(7)ごくまれに歯を動かすことで神経が障害を受けて壊死することがあります。
(8)治療途中に金属等のアレルギー症状が出ることがあります。
(9)治療中に「顎関節で音が鳴る、あごが痛い、口が開けにくい」などの顎関節症状が出ることがあります。
(10)様々な問題により、当初予定した治療計画を変更する可能性があります。
(11)歯の形を修正したり、咬み合わせの微調整を行ったりする可能性があります。
(12)矯正装置を誤飲する可能性があります。
(13)装置を外す時に、エナメル質に微小な亀裂が入る可能性や、かぶせ物(補綴物)の一部が破損する可能性があります。
(14)装置が外れた後、保定装置を指示通り使用しないと後戻りが生じる可能性が高くなります。
(15)装置が外れた後、現在の咬み合わせに合った状態のかぶせ物(補綴物)やむし歯の治療(修復物)などをやりなおす可能性があります。
(16)あごの成長発育によりかみ合わせや歯並びが変化する可能性があります。
(17)治療後に親知らずが生えて、凸凹が生じる可能性があります。加齢や歯周病等により歯を支えている骨がやせるとかみ合わせや歯並びが変化することがあります。その場合、再治療等が必要になることがあります。
(18)矯正歯科治療は、一度始めると元の状態に戻すことは難しくなります。
スプリント(スタビライゼーションタイプ)のリスク及び副作用
効果には個人差があり、(1)めまい、(2)睡眠障害、(3)こわばり、(4)吐き気および/または嘔吐、(5)唾液分泌の増加、(6)咬合圧の増加、(7)口渇、(8)唇の乾燥、(9)いびきの増加がリスクおよび副作用として考えられます。
上記以外に、スプリントによって今までの噛み合わせ位置の変化およびそれによる顔貌の変化が生じるとその改善には矯正治療や外科的矯正治療が必要となります。
- もっと知りたい
- さらに詳しくお聞きになりたい方は、
定期的に開催している「相談・カウンセリング」へお申し込みください!






